Headlines
Benjamin Netanyahu Was Sworn in as Israel's Prime Minister in a Comeback at the Head of a ... - Latest Tweet by Reuters
BTS V aka Kim Taehyung Birthday: From Inner Child To Winter Bear, 5 Solo Songs of the K-Pop Singer You Got to Listen to If You Aren't Part of the BTS Army!
Egypt Lifts Import Curbs, Backs Bigger Private Sector Role to Meet IMF Demands - Latest Tweet by Reuters
This New Smart Ball Might Be a Game Changer for Rugby with Its Ability to Collect Relevant ... - Latest Tweet by Reuters
TMC Leader Saket Gokhale Arrested by Gujarat Police in Crowd-funding `misuse' Case, Says ... - Latest Tweet by PTI News
Himachal Pradesh | Around 400 Vehicles Were Rescued Safely from the South Portal of ... - Latest Tweet by ANI
At the End of a Historic, Productive Session of Congress Full of Bipartisan Results, I ... - Latest Tweet by President Biden
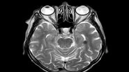
Health News | Researchers Reveal Connection Between Metabolism Changes in Brain Cells, Huntington's Disease
AmerisourceBergeni is Being Sued by the US for Allegedly Failing to Report Suspicious ... - Latest Tweet by Bloomberg
ATACMS Can Travel 300 Kilometers Before Precisely Striking a Target - Farther Than Any of ... - Latest Tweet by The Kyiv Independent
India News | Theaterisation Will Have Its Unique Characteristics: Former Chief of Army Staff MM Naravane
The Reason Vernon Didn't Let SEVENTEEN Hear "Black Eye" Before It Was ... - Latest Tweet by Koreaboo













Quickly
