Science
categories :
Science
Solar Eclipse 2024: Niagara Region Declares State of Emergency ‘Out of an Abundance of Caution’, Takes Proactive Measures Ahead of April's Total Solar Eclipse
Total Solar Eclipse 2024: New York Inmates Sue To Watch Solar Eclipse After State Orders Prisons Locked Down on April 8
Is Selfie With Solar Eclipse Good Idea? How To Protect Against the Sun? How To Take Great Photo of the Eclipse? FAQs on How To Use Apps To Track and Photograph the Total Solar Eclipse Answered
Google Solar Eclipse 2024 Animation: Search Engine Giant Comes Up With Special Animation Ahead of Total Solar Eclipse (Watch Video)
Solar Eclipse 2024 Date and Time: Know Interesting Facts About the Unique Total Solar Eclipse Visible in North America This Year
NASA Selects Intuitive Machines, Venturi Astrolab and Lunar Outpost To Develop Lunar Terrain Vehicle for Moon Mission
Agni Prime: India Successfully Carries Out Night Launch of Nuclear Capable Ballistic Missile From Abdul Kalam Island off Coast of Odisha
Why Is Kissing Important? 11 Must-Know Facts About Kissing and a Look at Its Potential Calorie-Burning Effects
Human Sperm Count on Decline: Average Sperm Count More Than Halved Between 1973 and 2018, Finds Study
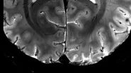
Iseult MRI Scanner: World's Most Powerful MRI Unveiled, Captures Images of Human Brain in Four Minutes; All You Need To Know About Iseult (Watch Video)
UFO Sighting Reported in US? Residents of Arizona Record Video of 'Alien' Blue Object Flying in the Sky
SatCom Industry Association of India and Brazil’s ABRASAT Ink MoU To Boost Advancements in Space Sector













Quickly
